Sie befinden sich hier: Leistungen - Wirbelsäuleneingriffe - Wirbelsäulenstabilisation - Wirbelsäulenstabilisation HWS
 
Willkommen
Information
Leistungen
Das Team
Öffnungszeiten
Anfahrt
Fachinfos
Links
Impressum

Wirbelsäulenpraxis Lübeck
LindenArcaden
Werner-Kock-Strasse 4
23554 Lübeck

Telefon: 0451 40 77 544
Telefax: 0451 40 77 392

E-Mail:
Info@Wirbelsaeulenpraxis-Luebeck.de




Wirbelsäulenstabilisation / HWK - Fraktur

Kommt es durch ein Trauma zu einem Bruch eines oder mehrer Halswirbelkörper, so sollte, falls eine konservative Therapie nicht möglich ist, zur Vermeidung einer fixierten Fehlstellung eine Einrichtung des Bruches und eine stabilisierende Operation erfolgen. Diese Operation wird in den meisten Fällen von vorn durch den Hals durchgeführt. Nach vorsichtiger Präparation der Halsweichteile wird der Vorderrand der Halswirbelsäule dargestellt und ein spezielles Sperrersystem eingesetzt. Nachdem der Wirbelbruch eingerichtet wurde, werden eine oder mehrere Bandscheiben entfernt. Als Ersatz für die Bandscheibe wird aus dem Beckenkamm des Patienten gewonnener Knochen eingesetzt. Zur Fixierung der Wirbelsäulenstellung wird von vorn eine Titanplatte angeschraubt. Das eingesetzte Eigenknochenmaterial führt zu einem festen knöchernen Durchbau der beteiligten frakturierten Wirbelkörper. Im allgemeinen ist der knöcherne Durchbau nach 8-10 Wochen abgeschlossen, die eingebaute Platte könnte somit wieder entfernt werden, dieses muß aber nicht geschehen. Bedingt durch das Verschrauben von einen oder mehrerer Wirbelkörper kommt es zu einer geringen, für den Patienten meist nicht wahrnehmbaren Bewegungseinschränkung im Bereich der Halswirbelsäule.

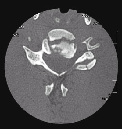
Abb. 1+2 von links
Instabiler Bruch des 5. Halswirbel-Körpers mit Abknickung der Hals-Wirbelsäule und Bruchspalt im Wirbelkörperhinterkantenbereich.
(links normale seitliche Röntgenaufnahme, rechts Schichtbild in der Computertomographie

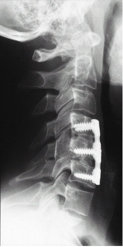
Abb. 3+4 von links
Zustand nach operativer Versorgung des Bruches mittels Titanplatte, welche mit 6 Schrauben in den 4.,5.und 6.Halswirbelkörper verankert sind. Die beiden Bandscheiben ober und unterhalb des gebrochenen Wirbelkörpers wurden entfernt und durch Eigenknochen aus dem Beckenkamm des Patienten ersetzt. (linkes Bild) Rechts das Röntgenbild nach ca. 8 Monaten, eine knöcherne Verrbindung zwischen den verschraubten Wirbelkörpern ist entstanden.

Versteifungsoperationen an der Halswirbelsäule bei degenerativen Wirbelkanaleinengungen oder Wirbelkörpertumoren

Bedingt durch die ständig zunehmende Lebenserwartung in den westlichen Industrieländern kommt es zu einer Zunahme der Patienten mit behandlungsbedürftigen degenerativen Erkrankungen der Wirbelsäule. Kommt es im Halswirbelsäulenbereich durch degenerative knöcherne oder bindegewebige Umbauprozesse zu einer Einengung des Wirbelkanals, so kann eine Kompression des Halsrückenmarkes zu einer schleichenden Querschnittsymptomatik führen. Unbehandelt führt dieser Prozess meistens zu einer hohen Querschnittssymptomatik und zum Tode des Patienten. Ähnliches gilt für einen tumorösen Wirbelkörperbefall, hier kommt es allerdings durch die rasch wachsenden Prozesse zum raschen Eintreten einer Querschnittsymptomatik.
Bei einer Einengung des Wirbelkanals durch degenerative Verschleißprozesse genügt es meistens, die engste Stelle des Wirbelkanals durch Entfernung einer oder mehrerer Bandscheiben aufzuweiten. Hierbei wird ein Bandscheibenersatz aus Carbon oder Titan implantiert, der Wirbelkörper kann erhalten werden. In einzelnen Fällen kann es aber erforderlich sein, über den oben beschriebenen operativen Zugangsweg einen oder mehrere Wirbelkörper aus der Halswirbelsäule herauszulösen. Hierbei kann es notwendig sein, die entfernten Wirbelkörper durch Metallimplantate zu ersetzen. Bei durch Tumoren befallene Wirbelkörper kann es ebenfalls notwendig sein, einen Wirbelkörperersatz durchzuführen.