Sie befinden sich hier: Leistungen - Wirbelsäuleneingriffe - Minimalinvasive Verfahren-stationär - Vertebroplastie
 
Willkommen
Information
Leistungen
Das Team
Öffnungszeiten
Anfahrt
Fachinfos
Links
Impressum

Wirbelsäulenpraxis Lübeck
LindenArcaden
Werner-Kock-Strasse 4
23554 Lübeck

Telefon: 0451 40 77 544
Telefax: 0451 40 77 392

E-Mail:
Info@Wirbelsaeulenpraxis-Luebeck.de




Minimalinvasive Verfahren - stationär

Vertebroplastie

Es handelt sich um eine relativ neuartige Methode zur Behandlung von osteoporotischen Wirbelbrüchen bzw. Tumoren (z.B. Metastasen) der Wirbelkörper.
Das minimalinvasive Verfahren zur percutanen Verabreichung von Knochenzement in den Wirbelkörper wurde erstmals vor ca. 15 Jahren in Frankreich beschrieben. Der heute verwendete Knochenzement (Polymethylmethacrylat = PMMA) ist chemisch geringfügig verändert im Vergleich zu dem Zement, welcher in der Endoprothetik zur Verankerung von Metallimplantaten im Knochen dient. Im Vergleich härtet er langsamer aus (ca. 20min.) und erreicht beim Abbinden weniger hohe Temperaturen. Das Verfahren wird heute hauptsächlich zur Behandlung von osteoporotischen Wirbelfrakturen eingesetzt. Eine weitere Anwendungsmöglichkeit stellen schmerzhafte, tumoröse Wirbelkörperveränderungen (z.B. Metastasen) dar. Bislang ist noch nicht eindeutig geklärt, über welchen Effekt es zur Schmerzlinderung durch die Vertbroplastie kommt. Der Knochenzement wird in flüssiger Form in den Wirbelkörper gespritzt, beim Abbinden entstehen höhere Temperaturen, welche Nervenendigungen zerstören können. Zum Anderen kommt es durch die Zementverabreichung zu einer Stabilisierung des gebrochenen Wirbelkörpers, welches offenbar die schmerzhafte Beweglichkeit im Wirbelkörper reduziert.

Die Vertebroplastie kann sowohl in Vollnarkose als auch in örtlicher Betäubung durchgeführt werden. Nicht möglich ist Vertebroplastie in der minimalinvasiven Form bei Patienten mit einer zerstörten Wirbelkörperhinterkante (Öffnung zum Wirbelkanal und zu den emfindlichen Nervenstrukturen) sowie bei Patienten mit Gerinnungsstörungen. Vor dem Eingriff sollte neben einem Röntgenbild der eine Computertomographie oder Kernsintomograhie des betroffenen Wirbelsäulenabschnittes durchgeführt werden

Technik
Der Patient befindet sich in Bauchlage, es werden dann zwei spezielle Kanülen ohne Hautschnitt durch den Wirbelbogen (transpedikulär) in den Wirbelkörper eingebracht.


Abb.1oben
Schematische Darstellung des Einbringens der Punktionskanüle in den Wirbelkörper durch den Wirbelbogen (transpedikulär)

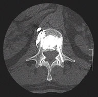
Abb. 2 und 3 von links
Korrekte Lage der Punktionskanülen im gebrochenen Wirbelkörper des Patienten
Beginn der Zementeinspritzung mithilfe einer speziellen Applikationspistole
 
Abb.4+5 von links
Bruch des 1. Lendenwirbelkörpers nach einem Sturz eines 60 jährigen Patienten

Um eine präzise Punktion der Wirbelkörper zu ermöglichen und die Verteilung des Zementes im Wirbelkörper genau zu erfassen, sollte der Eingriff unter computertomographischer Kontrolle (Fluoro-Ct) oder unter Verwendung eines Röntgendurchleuchtungsgerätes erfolgen. Hiernach wird der spezielle Zement unter Röntgenkontrolle in den Wirbelkörper eingespritzt

Abb. 6+7
Derselbe Patient nach Behandlung mittels percutaner Vertebroplastie. Zu erkennen ist die homogene Zementverteilung im Wirbelkörper (im Bild weiß). Der gebrochene Wirbelkörper konnte gut aufgerichtet werden. Ohne Bedeutung ist der geringe Zementaustritt aus dem Wirbelkörper