Minimalinvasive Verfahren - stationär
Nucleoplastie
Bei der Nucleoplastie handelt es sich ebenfalls um ein minimalinvasives Verfahren zur Behandlung bestimmter bandscheibenbedingter Wirbelsäulenerkrankungen. Behandelt können werden kleinere Bandscheibenvorfälle, welche nicht den Bandscheibenfaserring durchbrochen haben. Die Bandscheibenveränderung ist normalerweise so diskret, dass eine operative Therapie nicht in Betracht gezogenwerden kann. Vor einer Nucleoplastie sollten konservative Therapiemöglichkeiten ausgeschöpft werden.
Über die unter Kontrolle des Röntgenbildwandlergerätes eingebrachte wenige Millimeter starke Kanüle erfolgt das Einführen der „Arbeitssonde“. Mithilfe dieser Sonde wird über den sogenannten Coblationseffekt schonend unter geringer Temperaturentwicklung Bandscheibengewebe aus der Bandscheibe entfernt. Die Sonde ist an ihrem Ende leicht gebogen, unter mehrfachem Vor-und Zurückschieben werden mehrere Kanäle in der Bandscheibe geschaffen, hierdurch entsteht ein gewisser Volumeneffekt, eine durch ausgetretenes Bandscheibenmaterial komprimierte Nervenwurzel kann hierdurch wieder frei verlaufen
Vorteile der Nucleoplastie
Minimalinvasives Verfahren, kein Hautschnitt erforderlich, keine Narbenbildung an der Nervenwurzel.
Eingriff kann in örtlicher Betäubung durchgeführt werden, ambulante Behandlung theoretisch möglich.
Nachteile der Nucleoplastie
Eingeschränktes Indikationsspektrum, d.h. längst nicht alle bandscheibenbedingten Erkrankungen
können über dieses Verfahren behandelt werden.
Abb. 1 und 2 von links
Percutaner Zugang zur Bandscheibe
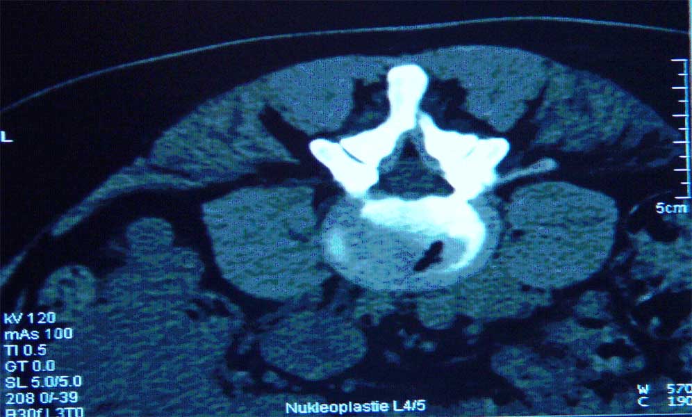
Abb. 3 von links
Das Ergebnis der Nucleoplastie ist, postoperativ 5 Minuten später im CT sichtbar.
|
|