Sie befinden sich hier: Leistungen - Wirbelsäuleneingriffe - Wirbelsäulenstabiliation - Degenerative Erkrankung / Wirbelgleiten
 
Willkommen
Information
Leistungen
Das Team
Öffnungszeiten
Anfahrt
Fachinfos
Links
Impressum

Wirbelsäulenpraxis Lübeck
LindenArcaden
Werner-Kock-Strasse 4
23554 Lübeck

Telefon: 0451 40 77 544
Telefax: 0451 40 77 392

E-Mail:
Info@Wirbelsaeulenpraxis-Luebeck.de



Wirbelsäulenstabilisation

Degenerative Erkrankung / Wirbelgleiten

Versteifungsoperationen an der Lendenwirbelsäule bei instabilen degenerativen Wirbelkanaleinengungen und bei erworbenen Wirbelgleiten.
Degenerative Veränderungen betreffen zum überwiegenden Teil die untere Lendenwirbelsäule, da in diesem Bereich die Belastungen bedingt durch den aufrechten Gang des Menschen am höchsten ist. Der Verschleißprozess betrifft neben den Bandscheiben mit zunehmenden Alter auch knöcherne Strukturen, hier beispielsweise die Wirbelkörpergelenke. Der Verschleißprozess im Bereich der Wirbelsäule ist als biologischer Regelprozess des Körpers aufzufassen, insofern stellt er für sich noch keinen krankhaften Befund dar. Erst wenn es in Folge des degenerativen Prozesses zu einer Bedrängung von Nervenstrukturen kommt oder als Ausdruck einer Instabilität ein Wirbelgleiten auftritt, kann mit dem schmerzgeplagten Patienten ein operativer Eingriff diskutiert werden. Eine Versteifungsoperation bei degenerativen Prozessen an der Lendenwirbelsäule kann im wesentlichen in zwei Fällen notwendig werden

  • Wirbelgleiten aufgrund von degenerativen Veränderungen der Bandscheibe und der Wirbelkörpergelenke (Pseudospondylolisthese). Diese ist meistens mit einer Wirbelkanaleinengung verbunden und verursacht neben Rückenschmerzen belastungsabhängige Beinschmerzen.

  • Wirbelgleiten aufgrund einer angeborenen oder erworbenen Fehlanlage (unphysiologische Belastungen während der Wachstumsphase, z.B. Kunstturnerinnen!) der Wirbelkörpergelenke (Spondylolisthese bei Spondylolyse)

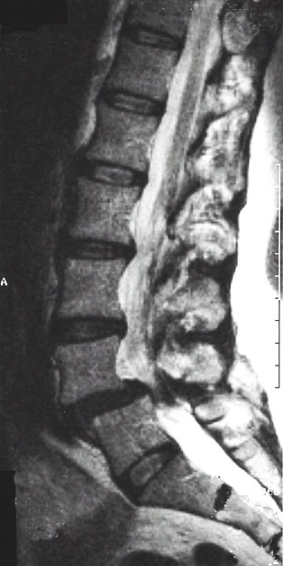
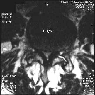
Abb:1- 3
59jährige Patientin mit einem Wirbelgleiten zwischen dem 4. und 5. Lendenwirbelkörper und einer daraus resultierenden Einengung des Wirbelkanals (Pseudospondylolisthese bei Spinalkanalstenose. Normales seitliches Röntgenbild (links), Kernspintomographien (mitte und rechts).

Durch die operative Therapie soll neben einer Aufweitung des Wirbelkanals die Korrektur der Wirbelkörperfehlstellung erreicht werden. Die notwendige Versteifung der betroffenen Wirbelkörper wird wiederum durch ein durch den Rücken implantierbares Schrauben-Stab-System aus Titan erreicht. Die zwischen den beiden Wirbelkörpern befindliche Bandscheibe wird über den hinteren Zugang entfernt und durch „Platzhalter“ aus Titan oder Carbon ersetzt. Die Implantate aus Titan oder Carbon können bedarfsweise mit Eigenknochen gefüllt werden und sollen zu einem Zusammenachsen der verschraubten Wirbelkörper führen.

In Außnahmefällen kann eine kombinierte (vorderer + hinterer Zugang) Operationsweise notwendig sein. In diesen Fällen wird das Schrauben-Stab-System über den hinteren eingesetzt, der „Bandscheibenersatz“ muß über eine Bauchoperation implantiert werden. Nach der Operation kann der Patient im Allgemeinen am Folgetage ohne Korsett mobilisiert werden, ein Krankenhausaufenthalt von 10-14 Tagen ist erforderlich. Ein Ausbau der Schrauben ist normalerweise nicht notwendig.

Abb.4-6
Seitliche Röntgenaufnahmen der selben Patientin nach der Operation (links) und nach einem Jahr (rechts). In jeden Wirbelkörper sind zwei Titanschrauben eingebracht (Bild mitte), verbunden sind die Schrauben mit jeweils zwei Titanstangen. Als Ersatz für die entfernte Bandscheibe dienen zwei Kunststoffwürfel (aus Carbon, erkennbar an punktförmigen Röntgenmarkierungen), welche mit dem Knochen des Patienten gefüllt sind. Auf dem rechten Bild ist die knöcherne Verbindung beider Wirbelkörper erkennbar.