Bandscheibenerkrankungen
Lumbaler Bandscheibenvorfall
Kommt es durch Rissbildung im äußeren Faserring der Bandscheiben zur Verlagerung von Bandscheibengewebe, so können durch Kompression von Nervenstrukturen Rückenschmerzen oder auch Beinschmerzen (Hexenschuß) auftreten.In den meisten Fällen sind bandscheibenbedingte Beschwerden unter einer konservativen Therapie innerhalb von 6-8 Wochen rückläufig. Die konservative Therapie beinhaltet neben körperlicher Schonung und der Einnahme von Schmerzmedikamenten das ganze Spektrum der Krankengymnastik und der physikalischen Therapie. Tritt unter einer konservativen Therapie keine Besserung der Beschwerden ein, besprechen wir mit Ihnen den erforderlichen operativen Eingriff und das für Sie geeignete Operationsverfahren.Es kommt entweder das mikrochirurgische - d.h, unter Verwendung des Operationsmikroskopes und von Mikroinstrumenten - oder das minimalinvasive Operationsverfahren - unter Verwendung des Operationsendoskopes - zum Einsatz.
 |
 |
 |
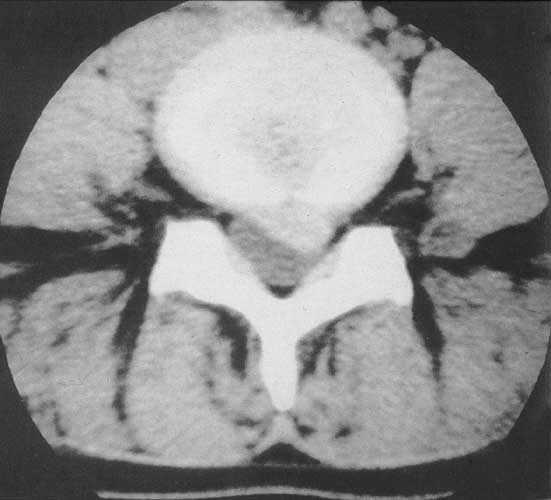
Lumbaler Bandscheibenvorfall
Abb: links, im Computertomogramm
Abb: Mitte, im Kernspinntomogramm
Abb: rechts, in der Myelographie
|
Treten hochgradige Lähmungen der Beinmuskulatur oder Störungen der Blasen – und Mastdarmfunktion auf, sollte eine Operation sofort (wenn möglich am selben Tage) durchgeführt werden.
Mikrochirurgische Bandscheibenoperation
Im Falle einer mikrochirurgischen Operation wird im betroffenen Wirbelsäulenabschnitt ein ca. 4cm messender Hautschnitt vorgenommen. Die knöchernen Strukturen des betreffenden Wirbelsäulenabschnitt werden freigelegt, die Rückenmuskulatur muß hierzu vorsichtig und sparsam vom Knochen abgelöst werden. Danach wird durch ein vorgegebenes Wirbelsäulenfenster (der Raum zwischen den Wirbelbögen) eine etwa ein mal ein cm messende Öffnung mit speziellen Mikroinstrumenten geschaffen. Die tragenden Strukturen der Wirbelsäule werden dabei nicht verletzt. Die darunter liegenden Nervenstrukturen werden vorsichtig wenige Millimeter beiseite gehalten und der meisten unter der Nervenwurzel befindliche Bandscheibenvorfall wird entfernt. In den meisten Fällen wird das Bandscheibenfach eingeschnitten, im Bandscheibenfach befindliche lose Bandscheibenanteile werden mit speziellen Fasszangen entfernt. Die Operation dauert im Allgemeinen unter einer Stunde, der Blutverlust ist minimal.
 |
Entfernung eines Bandscheibenvorfalls:
Das natürlich vorgegebene Fenster zwischen zwei Wirbelbögen wird zuvor erweitert, der Nervenwurzelsack mit der abgehenden Nervenwurzel wird mit einem kleinen Hacken beiseite gehalten. Hiernach wird in den meisten fällen eine Ausräumung des Bandscheibenfaches erfolgen. |
Der Eingriff wird immer unter Einsatz des Operationsmikroskopes durchgeführt. Komplikationsmöglichkeiten sind neben dem Eintreten einer Infektion die Nervenwurzelverletzung (Risiko unter einem Prozent) und das Auftreten eines erneuten Bandscheibenvorfalles (auch derselben Bandscheibe). Dieses Risiko ist mit etwa einem Prozent anzusetzen. Insgesamt zeigen etwa 80-90% aller Patienten nach Bandscheibenoperation ein gutes bis sehr gutes Ergebnis. Ein Großteil der operierten Patienten kann die berufliche Tätigkeit wieder aufnehmen. Der stationäre Aufenthalt beträgt etwa 7 Tage, der Patient kann am ersten Tage nach der Operation aufstehen. Die Nachbehandlung kann im Allgemeinen ambulant durchgeführt werden, die Krankschreibungsdauer beträgt ca. 4-8 Wochen.
|
|